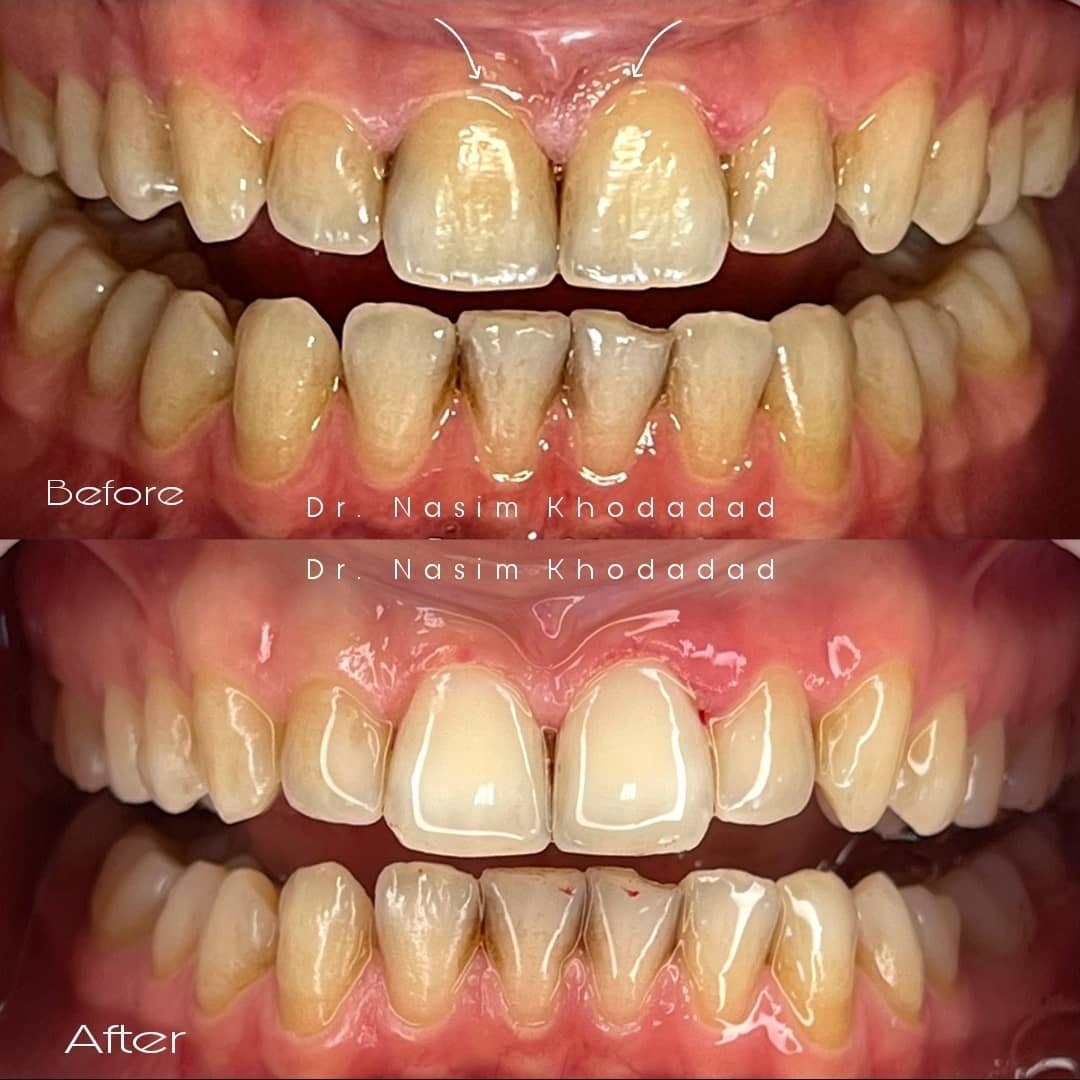
خانه/گالری عکس و فیلم مرکز دندانپزشکی تهرانپارس گالری عکس و فیلم مرکز دندانپزشکی تهرانپارس عکس ها و فیلم های بیشتر در پیج اینستاگرام ایسنتاگرام فیسبوک توییتر واتس آپ تلگرام وایبر