ایمپلنت و کاشت دنداندندانپزشکی
مدت زمان انجام ایمپلنت دندان و بهترین برند آن

سوالات زیبادی از ما میشود که عبارت اند از ;
مدت زمان انجام ایمپلنت دندان و بهترین برند آن
ایمپلنت دندان چقدر طول میکشد ؟
طول درمان ایمپلنت دندان چقدر است
توضیحاتی در زمینه برند های ایمپلنت :
مرکز ایمپلنت سعادت اباد دکتر سید محسنی
دکتر سید جواد سید محسنی
56481
به طور کلی دندان ها را در چهار دوره ی زمانی می توان ایمپلنت کرد:
- از بلافاصله بعد از کشیدن دندان تا 2 ماه بعد
- از 2 تا 4 ماه بعد از کشیدن دندان
- بیشتر از 6 ماه بعد از کشیدن دندان
- بعد از گذشت چندین سال از کشیدن دندان
مشورت رایگان با متخصص ایمپلنت در تهران کلیک
همانطور که مشاهده می فرمایید، تقریبا همیشه می توان ایمپلنت را انجام داد. البته به طور کلی بهترین زمان ایمپلنت دندان بلافاصله پس از کشیدن دندان است. همچنین در ادامه به معرفی برندهای برتر ایمپلنت می پردازیم:
برند های خوب ایمپلنت
| برند ایمپلنت | محصول | گارانتی | قیمت | کیفیت |
| Cis | کره ای | 2 سال | به صرفه | متوسط |
| Biotem | کره ای | 15 سال | متوسط | نسبتا خوب |
| Neodent | سوئیسی، برزیلی | همیشگی | متوسط | خوب |
| Zimmer | آمریکا | 10 سال | بالا | خوب |
| Straumann slactive | سوئیس | همیشگی | بالا | عالی |
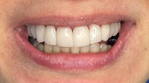
لمینت و کامپوزیت دندان + تفاوت ها
لمینت و کامپوزیت دندان از جمله خدمات زیبایی دندان هستند. در ادامه به بررسی شباهت ها و تفاوت های این دو روش می پردازیم:
کامپوزیت دندان
شباهت ها:
- هر دو یک روکش نازک روی دندان هستند که زیبایی دندان ها را بسیار زیاد می کنند.
تفاوت ها:
- کامپوزیت ارزان تر از لمینت: شاید این مورد یکی از مهم ترین مزیت ها( حداقل برای برخی افراد) باشد. کامپوزیت هزینه ای تقریبا برابر با نصف لمینت برای فرد به همراه خواهد داشت. به دلیل بیمه نبودن این خدمات، ممکن است برخی روش اول را انتخاب کنند.
- مراحل و مدت زمان آن ها با هم متفاوت است: کامپوزیت معمولا در یک روز و با پوشاندن و صیقل دادن نوعی رزین بر روی دندان ساخته می شود. لمینت در حدود دو هفته تا 20 روز به طول می انجامد. به این ترتیب که دندانپزشک با تراشیدن مینای دندان و قالب گیری از آن ها جهت تولید روکش، قالب ها را به آزمایشگاه می فرستد. بعد از مدت زمان گفته شده، روکش لمینت برای نصب بر روی دندان حاضر است.
- کامپوزیت برخلاف لمینت برگشت پذیر است: به دلیل تفاوت در مراحل انجام کار، کامپوزیت که بدون تراشیدن دندان ها روی آن ها قرار می گیرد، قابل برداشتن است. اما به دلیل تراشیده شدن دندان ها در روش لمینت، این روش امکان برگشت پذیری ندارد.
- ماندگاری لمینت بیشتر است: اگرچه لمینت، به عنوان خدمات یک دندانپزشکی، هزینه بیشتری دارد و برگشت ناپذیر است، اما عمر آن تقریبا 2 برابر کامپوزیت است. این مسئله به دلیل مرغوبیت ماده ی به کار رفته در لمینت نسبت به رزین کامپوزیت است. لمینت بین 10 تا 15 سال عمر می کند و کامپوزیت عمری از 5 تا 7 سال دارد.











